Bonding involves adhering composite resin material. The bonding process starts with the surface of the tooth is roughened to accept the bonding materials and hold it. A gel is applied to micro-etch the tooth's surface. The next step is to apply a primer/bond agent, so the material adheres to the surface. Then the composite (bonding) material itself is placed on the tooth and hardened with a dental curing light https://en.wikipedia.org/w/index.php?title=Dental_curing_light&oldid=766589989. The final step, the composite dental resin material is shaped and polished to get a glossy toothlike finish.
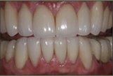
Tooth bonding is the application of a tooth-colored resin material which Yardley PA Dental Care uses to match to the color of the tooth. The bonding is adhered to the teeth using adhesives and a special high intensity light that"cures" or hardens the composite materials to the teeth. The name of the procedure, "bonding" comes from the fact that the composite materials are "bonded" directly to the tooth/teeth.
The Bonding process is typically used to repair teeth that are damaged by decay, to alter the shape/size or alignment of a tooth, to close wide gaps between
the teeth or other cosmetic goals. Bonding technique may also be used in making teeth longer or to change the color of teeth. At Yardley PA Dental Care, our dentists may use bonding a cosmetic alternative to standard amalgam fillings, or
to protect a part of the tooth or even its root that becomes exposed due to receding gums.
Yardley PA Dental Care's Dental Bonding is most often employed in the following dental issues/procedures for the correction of the following dental issues:
Yardley Pennsylvania Dental Care will be happy to discuss and consult with you about having cosmetic bonding done, discuss the benefits and deal procedures to accomplish a great smile. For cosmetic dental work or any other reason to you may need to see our PA dentist, contact us for an immediate appointment at our Yardley PA dentist office, just call us at 215 493-1616.
